I Have a Brain Tumor
It’s taken me several days to be able to gather this much strength to write.
I was diagnosed with a Posterior Fossa tumor 10 days ago.
I have multiple MRI / CT scans scheduled for the 7th & 8th of January.
Pre-Op surgical testing scheduled for January 24th @ 10AM.
Neurosurgery is scheduled for January 29th. It is a 6-8+ hour surgery.
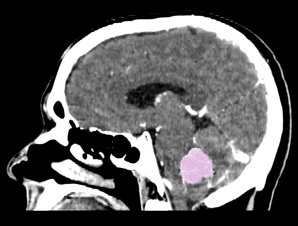
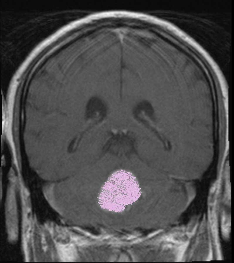
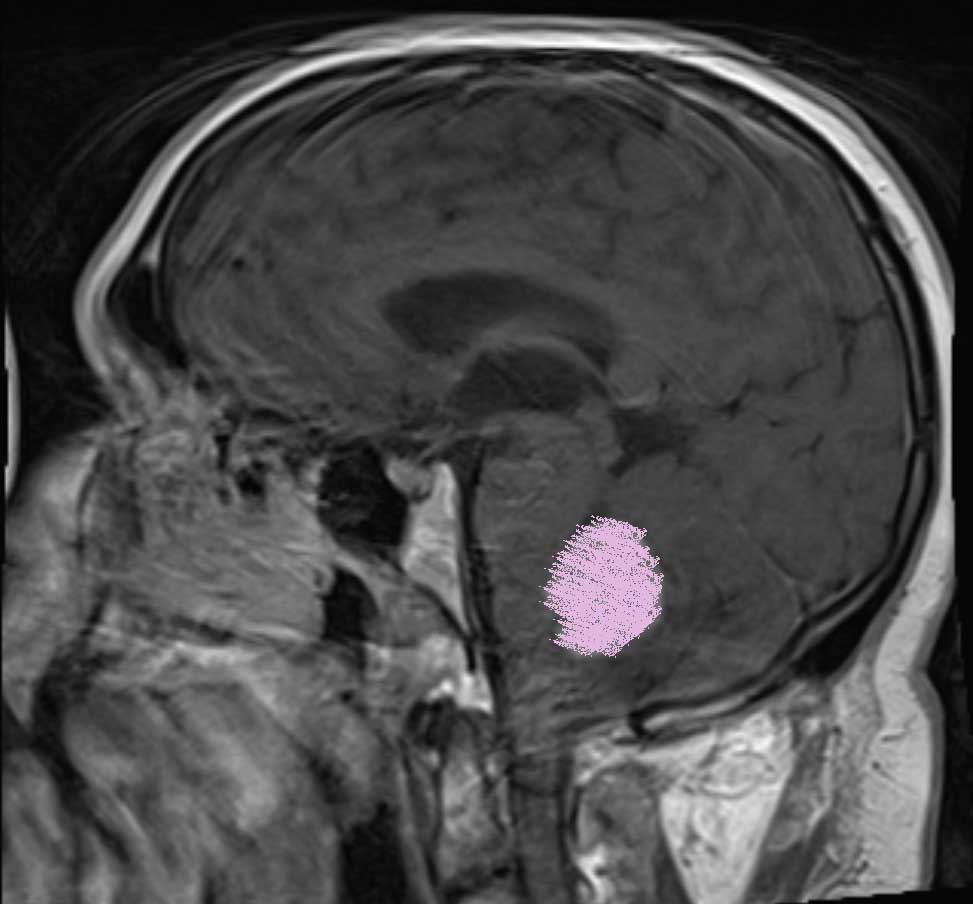
With that said, the tumor continues to press upon my brain stem and I am in bad shape.
(the lower image shows the Tumor pressing on the brain stem)
(the other white areas are cerebral fluid channels)
If you know me personally, you know how to reach me directly for more information.
If you don’t, there is an area on every page allowing you to email me directly.
For anyone who would see this and desires to pray for me, thank you.
Please pray that it’s God’s Will for me to recover or His Will for me to come home.
Because those are what I’m praying for.
If you pray for my family, pray for them in earnest.
They have not the love of God, nor the Son, but only of things of the world.
If I recover from this I am going to be moving in a new direction.
There’s another story intermingled among the story of divorce and staying with an unbeliever.
I’ve been living that story for the past 12 years. Quietly. Silently. Prayerfully. Sadly.
For those of you who know how to raise funds, my family will need help paying the bills.
I have insurance, but a high deductable and a whole new year to start paying it again.
Anyway, that’s all I’ll say about money. If you’ve known me for more than a minute, then you
already know I’ve said more about money just now than I have in years.
To those I know and have individually interacted with in this life:
I love you each and individually.
You have been important to me.
Giving you my time was a pleasure.
God knows that you were a blessing to me.
ihs : swak




Don't know how I missed this post, but I'll be certainly be praying for your health to continue on the mission God has given you.
I'm no stranger to high deductible insurance, perhaps you could consider looking into Co-ops like Christian Healthcare Ministries? Since you have insurance right now, I don't think you would have any lapses in coverage. Give it a look and God bless.
I have every ounce of prayer going out to you Keith. I hope this thing regresses to a null existence with no relapse. I'm with you all the way Keith.